SonoCase: Pulling Sensation in the Eye – by EPMonthly: Drs. Teresa Wu and Brady Pregerson

In the most recent issue of EP Monthly, Drs. Teresa Wu and Brady Pregerson, give another enlightening and humorous story of the average every-day emergency patient after first describing how they explained to their EM intern the role of emergency physicians (which I couldnt agree more with!): “As an EM physician, you are a healer, an educator, a detective, a diagnostician, and a master strategist all rolled into one.”

The case:

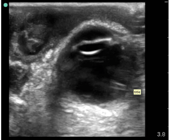
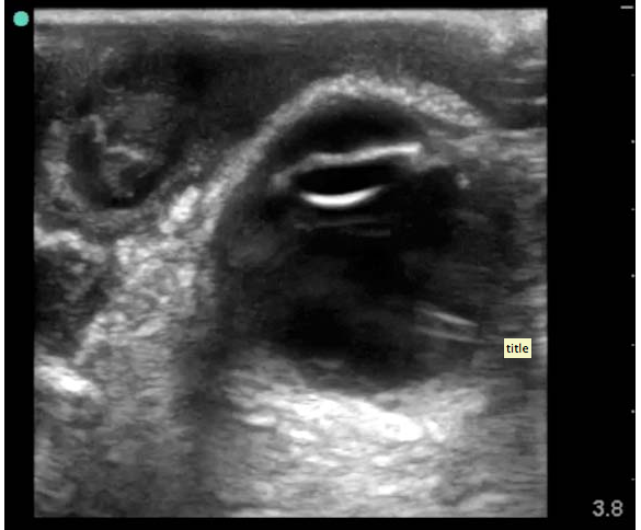
“41-year-old male who presents to the ED with concerns that his left eye is progressively getting more swollen. He’s had some increasing eye pain and purulent drainage over the past six days. At first he thought that he was just having really bad seasonal allergies, but today, he started feeling a “pulling sensation” on the medial aspect of his left eye. He denies any headache, diplopia, sinus pain, rhinorrhea, nausea, vomiting, or recent trauma. He does note a subjective fever at home, and his temperature is 38.2°C in the ED. His vital signs otherwise demonstrate tachycardia to 123 bpm, but a normal blood pressure, oxygen saturation, and respiratory rate. Your intern has asked the nurse to obtain a visual acuity on the patient and he is systematically going through his ocular exam when you walk by the room to check on him. He comes out of the room to give you an update on what he’s discovered so far. The patient has tenderness to palpation over his left medial orbit and possible entrapment on ocular exam. He has no additional pain with extraocular movement and no diplopia, but has so much periorbital edema that it wasn’t possible to get a consistent Tonopen measurement. There doesn’t appear to be any fluorescein uptake on the slit lamp exam, and other than conjunctival injection and the lid swelling, the patient has a normal ocular exam.

It is now about 4:30 pm and you know that in 30 minutes, all consultants turn into pumpkins and their pagers magically stop working. As you are about to ask your intern what he wants to do next, the medical student pulls up the ultrasound machine that the intern asked her to wheel over and hands it to him. He takes the linear array transducer and performs an ocular ultrasound at the bedside. He saves the following images: what do you see?”

Screen shot 2013-01-07 at 1.57.18 PM

Screen shot 2013-01-07 at 1.57.22 PM

To find out…..and read up on what it was, what happened, and the pearls of the exam, go here.

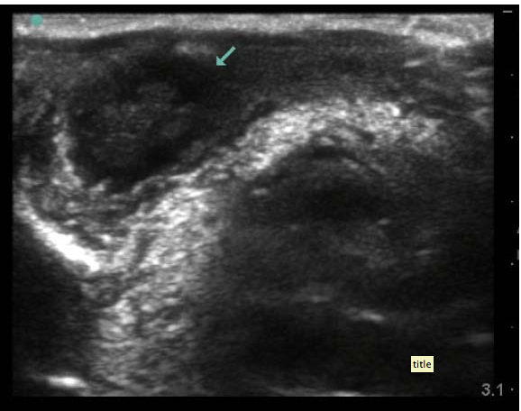
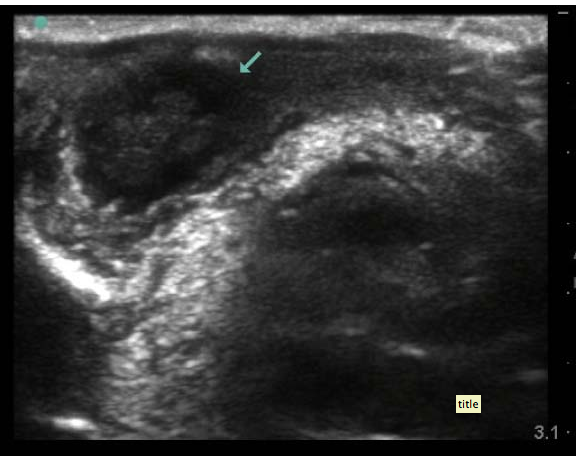
SonoCase: 82yr old prior orbital trauma, now with eyelid swelling and pain

This case was quite interesting and a great pick-up by the EM resident, Dr Cesar Avila. It highlights the use of ocular ultrasound with eye complaints/vision change/trauma, especially when you cannot properly evaluate the eye well due to eyelid swelling.

82 year old male with history of globe rupture and retinal detachment status post repair two months earlier presents to the ED with eyelid swelling of that same eye, gradual onset over one day with now inability to open eyelids well with yellow discharge coming from eye. Continue reading

SonoCase: 72 yr old, woke up with “funny” vision… What’s up with that eye?!

One of my good friends and colleagues, Dr. Graham Walker, emailed me the other day with a “booya, check it out”-type of email that he knows I love and cherish. He made the diagnosis quickly with the help of his bedside US study.

72 year old male with a history of hypertension, high cholesterol and on antibiotics for a foot infection – – stating he woke up and his vision was “funny” – Continue reading

SonoCase: 2 yr old walking into things, now cups his eye to focus…. What’s up with that eye?!

Very cool pick-up we had recently, the early diagnosis allowed better outcome, and I’ve only seen this twice before by bedside US in the ED. It was an unusually calm Monday in the pediatric ER, lots of coughs and colds, and more hand-foot-mouth disease than ever recorded in history, Im sure. Then we saw this very cute 2 year old boy walk into the ER wearing a “Poop happens” T-shirt, with his hand covering his left eye while walking to the room, then hopping on the gurney and immediately taken by the iPAD we have for kids to play games on…. Continue reading