Drs. Davis and Kendall write up a very interesting case in the Aug 2013 issue of Journal of EM where the ultrasound made the diagnosis, quite easily too. They discuss a 46 year old male with a history of current cocaine use AND a prior history of an aortic dissection, of course, who was complaining of sudden onset of abdominal pain and found to be severely hypertensive. The diagnosis on the top of their list was aortic dissection/aneurysm/rupture – and when they looked, they saw even more. Below is the abstract:
Background
A timely diagnosis of aortic dissection is associated with lower mortality. The use of emergent bedside ultrasound has been described to diagnose aortic dissection. However, there is limited literature regarding the use of bedside ultrasound to identify superior mesenteric artery dissection, a known high-risk feature of aortic dissection.
Objective
Our aim was to present a case of superior mesenteric artery dissection identified by bedside ultrasound and review the utility of bedside ultrasound in the diagnosis of aortic emergencies.
Case Report
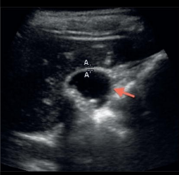
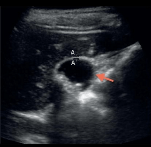
We report a case of superior mesenteric artery dissection found on emergent bedside ultrasound in a 46-year-old male complaining of abdominal pain with a history of cocaine abuse and prior aortic dissection. Bedside ultrasound in the emergency department revealed an intimal flap in the descending aorta with extension into the superior mesenteric artery prompting early surgical consultation before computed tomography because of concern for acute mesenteric ischemia.
Conclusion
Superior mesenteric artery dissection is a high-risk feature of aortic dissection and can be identified with emergent bedside ultrasound.
Just one of their images is displayed below – but take a look at the video in JEM to truly see the awesomeness. A subscription and password is required, but it’s a great journal with lots of cool ultrasound cases published almost every month.





