In the recent entry of the Journal of Ultrasound in Medicine, Dr. Ken Lee (MSK radiology), discusses how ultrasound of the tendon can add to your clinical work up of a patient with pain in that area. it is the most common sports-related injury and we see it in the emergency department all.the.time. In a prior post, we highlighted how Dr. Brita Zaia evaluated a patient with knee pain and tenderness who came to the ED for an arthrocentesis, showing the patellar tendon abnormality on her ultrasound image, making her diagnosis without the need of that invasive procedure (Published in WestJEM).
“Common tendon abnormalities include tendinopathy and tendon tears, which impose a substantial cost to society in the United States and abroad. According to the American Public Health Association, tendon disorders account for approximately $850 billion per year in health care costs and indirect lost wage expenditures.4 Accurate and timely diagnosis of musculoskeletal tendon injuries is critical to ensure proper treatment and thus minimize societal costs. Magnetic resonance imaging (MRI) has been the imaging standard for musculoskeletal injuries. However, MRI is costly and overused.5 Improvements in ultrasound technology have made sonography a rapidly growing imaging alternative and complementary tool to MRI for the diagnosis of common tendon injuries.6…..The most defining advantage of sonography over MRI is its real-time imaging capability, which allows for dynamic evaluation of the tendon using a variety of stress maneuvers.16,17 For example, in the neutral position, the long head of the biceps tendon may lie normally in the bicipital groove (Figure 3), only to dislocate medially once the arm, with elbow flexed, is externally rotated (Figure 4). In addition to tendon subluxation, other tendon abnormalities diagnosed dynamically include tendon snapping, friction between two structures such as in shoulder impingement,18 and increasing conspicuity of tendon tears while stressing the tendon or with sonopalpation.17 Real-time dynamic sonographic evaluation provides this unique diagnostic ability using controlled movements.”
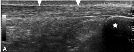
Read more in this article to learn about what it means and what happens when the tendon goes from looking like this:
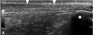
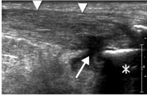
..to looking like this:
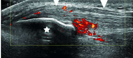
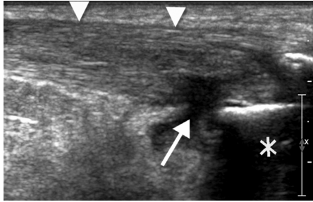
or like this….
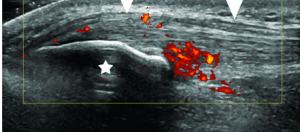
with plenty more examples of it, illustrating how awesome it is and why we should use bedside ultrasound to evaluate tendons more.



