Got to love the Canadians! This topic is also the first case that I posted in SonoSpot’s 1 year history, which reviews technique and an interesting case that baffled us yet becoming more clear with ultrasound (imagine that!). There have also been other case reports that I highlighted speaking about scrotal injuries. In this study, published in AJR, the authors set out to evaluate ultrasound accuracy, findings, and clinical predictors in pediatric testicular torsion. What factors correlate? Now, you could say that you dont need ultrasound and that physical exam alone will diagnose it, but interestingly, and not surprisingly, the physical exam isnt reliable and there have been other diagnoses made by ultrasound that helped rule in other causes of scrotal pain.
This study is a retrospective review, so take that into consideration when thinking about obstacles/limitations to the study, and the actual number of torsion cases was 35. But, it is interesting to note the factors they found with the torsion cases, particularly the ultrasound findings. Looks like color doppler is still good for something! See abstract below:
“OBJECTIVE. Testicular torsion is a common acute condition in boys requiring prompt accurate management. The objective of this article was to evaluate ultrasound accuracy, findings, and clinical predictors in testicular torsion in boys presenting to the Stollery pediatric emergency department with acute scrotal pain.
METHODS. Retrospective review of surgical and emergency department ultrasound records for boys from 1 month to 17 years old presenting with acute scrotal pain from 2008 to 2011 was performed. Clinical symptoms, ultrasound and surgical findings, and diagnoses were recorded. Surgical results and follow-up were used as the reference standard.
RESULTS. Of 342 patients who presented to the emergency department with acute scrotum, 35 had testicular torsion. Of 266 ultrasound examinations performed, 29 boys had torsion confirmed by surgery. The false-positive rate for ultrasound was 2.6%, and there were no false-negative findings. Mean times from presentation at the emergency department to ultrasound and surgery were 209.4 and 309.4 minutes, respectively. Of the torsed testicles, 69% were salvageable. Sensitivity, specificity, and diagnostic accuracy of ultrasound for testicular torsion were 100%, 97.9%, and 98.1%, respectively. Sonographic heterogeneity was seen in 80% of nonviable testes at surgery and 58% of patients with viable testes (p = 0.41).
Sudden-onset scrotal pain (88%), abnormal position (86%), and absent cremasteric reflex (91%) were most prevalent in torsion patients.
CONCLUSION. Color Doppler ultrasound is accurate and sensitive for diagnosis of torsion in the setting of acute scrotum. Despite heterogeneity on preoperative ultrasound, many testes were considered to be salvageable at surgery. The salvage rate of torsed testes was high.”
Among some other limitations, one limitation of this study is the number of torsion cases – I would have liked to have seen more – possibly a multi-site study is needed given the lack of high volume pediatric testicular torsion cases that come to the emergency department every year. Of course, there have been so many studies done that a meta-analysis can be written.
So, when you get that patient with acute scrotal pain, testicle in horizontal or abnormal lie, and an absent cremastreric reflex (and even after you have attempted to de-torse the testicle through the medial to lateral “opening a book” approach – right testicle counter clockwise, left testicle clockwise), place the patient’s leg in an open frog-leg position (you can use a towel under the scrotum to elevate and secure the scrotum in place if the patient tolerates it) and use your longer footprint linear probe. After examining the normal testicle in its transverse, longitudinal and coronal planes with and without color doppler to assess changes in echogenicity and arterial flow, examine the affected testicle the same way. Then, by using the longer footprint linear probe you can examine both testicles in the same view for adequate comparison ability.
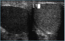
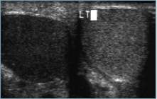
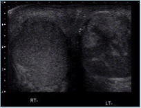
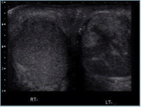
Thanks to Dr. Turandot Saul for the images below:
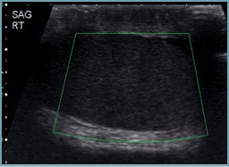
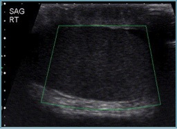
An early ischemic testicle will be enlarged with no change in echogenicity, but a late ischemic testicle will be hypoechoic but may still have preserved structure: 
Also, a late torsed testicle will have abnormal echogenicity and structure: 
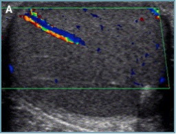
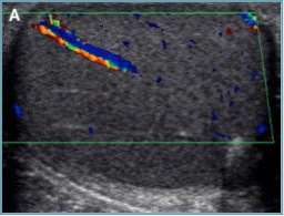
Normal testicle has normal echogenicity, normal color doppler flow within testicle:
Testicle torsion will have absence of testicular flow and may get to the poibnt of hyperemia surrounding the testicle:
To read a medscape article on testicular torsion and ultrasound findings, go here.
SonoGuide has a great overview of the technique and images of testicular pathology – go here.
The Journal of Ultrasound in Medicine had a good review of the role of spectral doppler in early torsion, go here.
And, of course, Ultrasound Podcast has a great podcast on the how-to of Testicle Ultrasound part 1 and 2:
For another great pictorial review of testicular US and pathology, go here.


