Drs. Teresa Wu and Brady Pregerson once again bring us an interesting SonoCase – one of the best that I have read – as it involves humor and a realistic description of a typical day in the emergency department, both physical exam skills and ultrasound skills, and most importantly, interpretation of your ultrasound image of vascular pathologies.
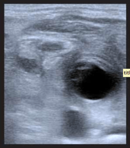
In this month’s issue of EP Monthly, they describe a case of a 50 year old with a history of diabetes and heroin use on home IV antibiotics for tarsal osteomyelitis with gradual onset fo left sided neck pain without fever or difficulty swallowing, or sore throat. She has pain with movement of her neck and her oropharynx is clear. Hmmmm, so the diagnosis is not presenting itself and whenever that happens to me, I gra the ultrasound machine to see if it can provide more information – just as they did. They get the below image with compression of his left neck with the linear probe:
What do you think? Well, to find out what it is and read about the technique and excellent pearls and pitfalls to this bedside ultrasound application, click here.

