MSK ultrasound – truly the wave of the future, and current extensive use amongst sports medicine docs who have no XRay machines on the field, and also for disaster and international uses. Someone once said “Problems are to the mind what exercise is the the muscle.” I knew thats why my head hurt during the most recent 49ers playoff game, but I bet their joints were much more sore. Ever wonder what tendonitis looks like on US? Easy and quick diagnosis.
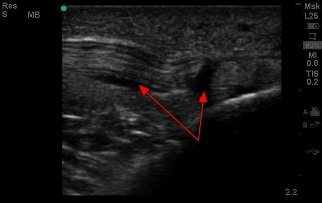
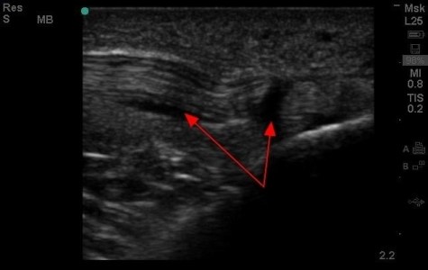
SonoCase: Had this athlete who had knee pain, tough to walk, slight effusion – sent for an arthrocentesis by the PCP to rule out septic joint…..but, he was worried he had an ACL tear, but upon looking with US around his patellar tendon (where he was tender), we got the diagnosis in a flash. The linear probe was used by Dr. Brita Zaia to visualize the linear echoes of the tendon in longitudinal axis – fluid is seen around the thickened tendon which usually is not there. Too bad US didnt exist in the times of Troy….Ah, the truth truly is in the ‘sound.
The Normal Tendon…..otherwise known as “The Ray of MSK”

