Lung ultrasound (aka thoracic US) is one of the currently most popular applications of bedside ultrasound. It was found to be more sensitive and specific than chest XRay for pleural effusion, pulmonary edema, and pneumothorax evaluation (see meta-analysis in Chest here)…. how about them apples?! There have been some recent studies suggesting that in the heat of the moment for trauma patients, the sensitivity may be slightly lower than other studies state, but it is still better than chest Xray! Not only does it take a long time to get that chest Xray done in your ED or in through your ambulatory care practice, but its more expensive than bedside limited ultrasound for the patient as well…. lets not even talk about the radiation (yes, I know, Chest Xray radiation is minimal, but it’s still radiation). The evaluation of the lungs takes no more than 3 minutes, and ultrasound machines can be found in your pocket now (should you want that kind of VERY COOL technology). US machines can also be the size of a laptop with better resolution and multiple probe capabilities – so, needless to say, its easy, portable, fast, and more accurate. Now let’s talk…
So you have a patient with sudden shortness of breath or chest pain, with an O2 sat around 95% or lower, with a history of COPD… or spontaneous pneumothorax in the past…. or recent bronchoscopy…. or recent bout of a severe coughing spell…. known to smoke a bong every now and again….. or was taking his SATs and felt sudden chest pain (yes, in case you were wondering, all of which were the patients I have had with a diagnosed pneumothorax) ……and you really want to know whether they have a pneumothorax or not quickly.
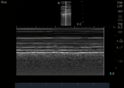
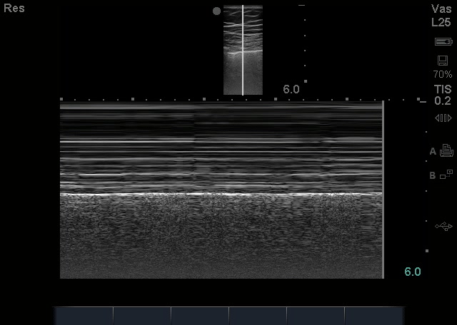
Well, lets look at what normal lung looks like on US. Use your linear (high frequency) probe since the area you are evaluating is quite superficial and thus will provide you with better resolution. You place the probe in the same location you would a14g angiocath if they suddenly arrest on you (2nd intercostal space, midclavicular line) with the probe indicator toward the patient’s head.
What you will see when you place your probe there in a normal lung view (from top of screen to bottom of screen) is the skin and subcutaneous layer, then the muscle pectoralis layer (which is immobile) then the circular (cross section) of the ribs which provide a shadow beyond it since its bone. You will then see a linear bright echo on the screen just under to the rib shadow that appears to be moving along the plane of the probe…. at a rate that is similar to the patient’s respiratory rate….(how about that?!)….. and that line is called the pleural line (where the parietal and visceral pleura meet). The movement denotes the movement of lung – called the lung sliding sign. And since the sound waves are travelling from superficial to deep (top to bottom on your screen), that movement causes an artifact to develop at the pleural line – short small rays come down perpendicular to the sliding pleural line – called comet tail artifacts. You should evaluate the lung sliding with comet tail artifacts for 4-5 respiratory cycles, and in multiple intercostal locations, starting high up and travelling down as to not miss the small pneumothoraces, since eventually you’ll see normal lung again after the pneumothorax area depending on its size… more on that later. Below is what normal lung looks like.
Since lung has air in it, and air is the enemy of US, deep to that sliding pleural line will have various other artifact that are not that diagnostic of anything (so dont pay too much attention to it). If you wanted to confirm that there is normal lung, without pneumothorax, you can use M-Mode or motion mode, which is essentially a waveform that detects motion. Once M-mode is pressed, you will find a line in the center of your screen – you want to place that line over the pleural line (avoid the rib). Once you press Mmode again, while keeping your probe very still (as it will detect that motion too), the top of the screen will be immobile (the muscles) and thus just straight lines going through, and the pleural line will be evident as a line, with the area posterior(deep) to that being grainy and without linear areas, denoting movement (in this case, of lung). Its called the sandy beach sign, or seashore sign (since to some, its looks like sand and water).
The diagnoses of pneumothorax is essentially the absence of the above findings. You will NOT see air – remember, air is the enemy of US, which means that when there, you will not see what you normally should. You look for the absence of lung sliding, the absence of comet tail artifacts. The absence of the seashore sign on Mmode – called the stratosphere sign.
You can actually grade the pneumothorax by evaluating multiple rib spaces looking for the lung point – the area of lung that transitions from normal to abnormal…
Take caution when evaluating the left chest as the heart is also there and may worry you of something bad and definitely alter your ability to see the pleural line. Below is a clip of the heart beating and the pleural line not able to be seen when the probe is on the left anterior chest.
Thank you Dr. Lichtenstein, and all others, who changed the way for bedside US!
For SonoTips&Tricks on pneumothorax evaluation, see my prior post.
A quick mini-talk by Dr. Mike Stone on pneumothorax evaluation by US.
For more talk on when the lung point is not the lung point – Go to 5MinSono here.


