This comes in great timing as a prior SonoSpot post describing recent studies evaluating CT findings in appendicitis rule-outs show that the majority ( 80-90% ) are negative…. US, clinical judgement, and a possible observation period can go a long way in radiation reduction.
Expert Interview: Stephanie Wilson, MD, on the Value of Ultrasonography for Imaging Appendicitis
An increased focus on reducing imaging-caused radiation exposure has turned attention to ultrasonography as an alternative to CT and radiography. Recently the American College of Radiology issued recommendations that included avoiding CT unless ultrasonography had been considered first in cases of suspected pediatric appendicitis.
Stephanie Wilson, MD, a Canadian radiologist and a longtime expert in ultrasonography, took up the pro-ultrasonography case with a presentation at the recent American Institute of Ultrasound in Medicine (AIUM) meeting. She agreed to discuss with us ultrasonography in appendicitis and her AIUM presentation, “Ultrasound: Cheaper, Safer, and Better for Appendicitis.”
Medscape: To start, could you please explain the role of imaging in the detection of the appendicitis?
![]() |
|
Stephanie R. Wilson, MD
|
Dr. Wilson: When a patient presents to the hospital with a symptom complex that suggests appendicitis, the clinical evaluation includes the patient’s history and a physical examination. A clinical score called an Alvarado score is established, and this is used to predict whether the patient has appendicitis. If we look back many years prior to the introduction of cross-sectional imaging, surgeons would decide to take a patient to the operating room, or not, on the basis of this clinical assessment. And when patients do go to the operating room without any imaging, there are 2 things that may happen that are negative.
The first is that all patients with right lower quadrant pain do not necessarily have appendicitis, and actually have a normal appendix (Figure 1A, 1B). This surgery with removal of a normal appendix is a negative outcome; the patient has morbidity associated with that surgical procedure, and it does not look after the actual cause of their pain.

Figure 1. Normal appendix. a, long-axis image and b, cross-sectional image, show the normal appendix (A) arising from the basis of the cecum (C). The appendix shows a gut signature, a blind end, and diameter 6 mm or less. From Wilson SR. The gastrointestinal tract. In: Rumack CM, Wilson SR, Charboneau JW, Levine D, eds.Diagnostic Ultrasound. 4th ed. Philadelphia, Pa: Elsevier; 2010. Reproduced with permission.
That is balanced, however, by the fact that some patients delay their entry into the emergency department, and during that delay, they may have perforated their appendix. We can aggravate that problem if we delay taking them to the operating room. It’s a balance between these 2 things: the negative laparotomy rate, with removal of a normal appendix, and the surgical identification of a ruptured appendix, both of which we like to avoid. So, it’s a balance between 2 things which happen without imaging that motivates us to look at patients with appendicitis.
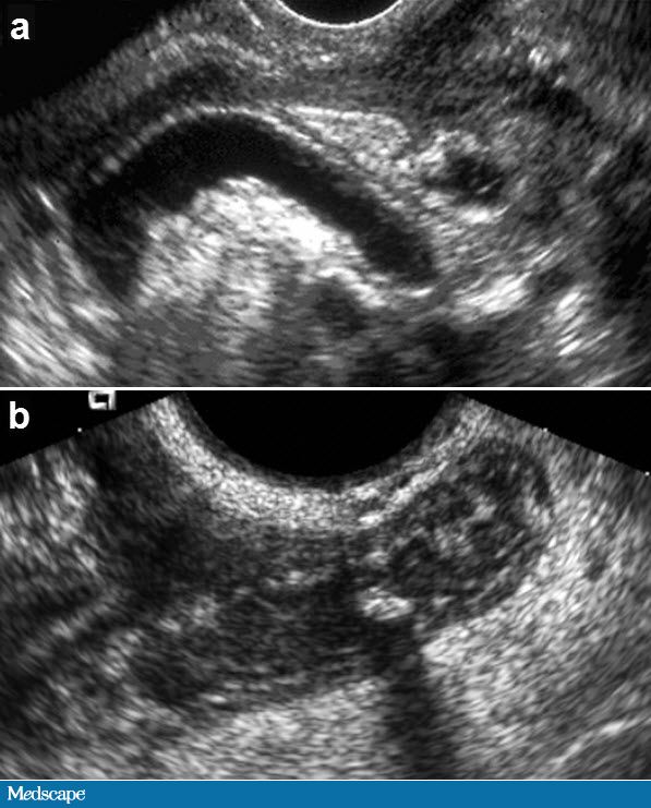
There’s one other component to this which is very important: If you look at a population of patients who present to an emergency department with right lower quadrant pain where appendicitis is considered likely, only about 20% of those people will actually have appendicitis, according to most studies. Looking for an alternate explanation for the pain is another motivation for cross-sectional imaging. So, imaging turns out to be very valuable to identify the patient who does have appendicitis (Figure 2A, 2B), to identify the patient who does not have appendicitis, and to look for a possible alternate explanation for their pain in those patients.

Figure 2. Classic acute appendicitis in 2 patients, both with a large distended appendix, diameter greater than 6 mm, and a blind-ended tip. a. A fluid distended lumen is seen. b. A thick wall; debris in the lumen; and an appendicolith, with an acoustic shadow, are seen. From Wilson SR. The gastrointestinal tract. In: Rumack CM, Wilson SR, Charboneau JW, Levine D, eds. Diagnostic Ultrasound. 4th ed. Philadelphia, Pa: Elsevier; 2010. Reproduced with permission.
Medscape: You gave a talk at the AIUM meeting titled “Ultrasound: Cheaper, Safer, and Better for Appendicitis.” Could you please expand on each of those elements?
Dr. Wilson: Now, keep in mind, please, that that title was intended to be slightly provocative because it was a controversies course, but I was happy with the title. The “cheaper” is important in that we can look at ultrasound across the board, comparing it with any other modality, and it is cheaper. It’s many-fold cheaper than buying a CT machine or setting up an MRI scanner, for example. It is also cheaper because it’s done as a plain study, without the addition of a contrast agent; whereas contrast agents, both oral and intravenous, are routinely used for other modalities, particularly CT. Operational costs, both technical and professional, are also significant for CT and MRI. Ultrasound fees are uniformly lower. As a result, ultrasound turns out to be extremely cost-effective and much cheaper than other modalities.
The “safer” component is important in 2 respects. CT has been the workhorse for evaluation of patients with acute lower quadrant pain. And of course, unnecessary radiation must be considered for all imaging that we do. There is another safety element: the use of a contrast agent with CT. Although the risk is low, it is not zero. The radiation component is a very hot topic today. Not only are we aware of this, our referring clinicians are aware of it. Our patients are also keenly aware. Finally, the population that we’re looking at with acute right lower quadrant pain is often young, so the pediatric population comprises a substantial proportion of patients who ultimately do have appendicitis, and radiation risk is even more important in the pediatric and young adult population than it might be in the elderly.
How ultrasound is better is the most difficult of these to answer, but when I think of “better,” I think of a multifaceted, or multifactorial, response, in that ultrasound has very, very good accuracy and sensitivity. It has very strong positive predictive value. It’s easily performed, and it’s highly tolerated by the patients. And when we consider the costs and the safety as well, overall I think ultrasound turns out to be an excellent choice for appendicitis.
Medscape: You mentioned contrast for CT. Is it commonly used in lower quadrant pain cases?
Dr. Wilson: There are publications in the literature that talk about CT scan without the use of contrast, both oral and intravenous. However, I believe that there would be many more centers that do use contrast agents than do not. And certainly, CT scan in general terms is performed with the addition of intravenous contrast.
Medscape: This leads to the next question — you alluded to this in your prior answer — but your assessment applies to all age groups, correct?
Dr. Wilson: I work in an adult hospital, although I have a big pediatric referral base, because my other love is inflammatory bowel disease, so I see many, many children every week. Nonetheless, in the pediatric population there is such an awareness of CT safety issues that I think that ultrasound first is an increasing and very, very much more popular concept than it was 1 decade, and certainly 2 decades, ago. But if we’re talking about populations, there is another population in which ultrasound is very important: women, particularly those of reproductive age. This is related to the fact that in women, the most difficult differential decision is whether they have a gynecologic pathology or gastrointestinal pathology.
There was a case I presented at rounds many years ago of a woman who came to our emergency department. She was seen by both the gynecology and general surgery services about whether she had acute appendicitis, or whether she had an acute gynecologic condition, such as pelvic inflammatory disease. Sometimes, both the gastrointestinal disease and gynecology physicians will say, this patient belongs to the other department. Then there are other situations where both services say the patient belongs to them.
I have done many ultrasounds on patients where the thought has been that they have acute pelvic inflammatory disease, but an inflamed pelvic appendix is found. In other words, the appendix can reside in its most common location in the right iliac fossa, but it may also reside deep in the pelvis in a significant proportion of people. So they’re the ones, when they are examined clinically, in whom you get such things as cervical excitation, and it overlaps with the gynecological presentation. There are publications that have reported a much lower negative laparotomy rate if these patients have ultrasound first. And of course with CT scans, if there is a weakness, it’s for gynecologic problems.
Medscape: Well, that’s certainly another dimension.
Dr. Wilson: So that’s another group. But when you asked, does it apply to all ages, it does. If I were standing in an emergency department with my ultrasound machine, I would love to take every patient that comes in with right lower quadrant pain, with the possible exclusion of those people with a real high body mass index. Even then, ultrasound scans are often good, but if you were going to take any group out, I would remove patients with high body mass index.
Medscape: I see. What unique challenges are there to using ultrasound in diagnosis of appendicitis?
Dr. Wilson: The challenges are quite easily defined. You must have competent performance of ultrasound scans by knowledgeable and experienced people, whether they be sonographers or physicians. And after you have a well-performed scan, it has to be officially interpreted by somebody with equivalent skills. There’s no question that the so-called “operator dependency” of ultrasound is true. Ensuring that competent people who can perform top-quality scans are available, through a spectrum of hours in the day, is a challenge.
Medscape: And when you’re talking about being competent to do this, you’re including ultrasound technologists, is that right?
Ms. Wilson: I am including them, and when I work in my own department I try not to have every single tech in the department work in my area, because appendicitis and bowel ultrasound is not the easiest thing to do. It’s in fact one of the more challenging areas. It takes attention, and knowledge, and experience to develop the skill set to do this. Still, sonographers in general in North America, including the US and Canadian registries, have very thorough continuing medical education requirements. They have a great pride in their profession and are a really incredible group of people, in my experience. If they’re given the opportunity to routinely evaluate people with right lower quadrant pain, they will become extremely proficient.
Where acquiring these skills is a problem is in a rural environment where there’s a tech who does radiology 80% of the time, and does a few of this and a few of that, including sonography, for the remainder of their time. That sonographer is always going to struggle. And they’re probably going to work in an environment where the person interpreting the scan will have equal struggles. But that doesn’t apply to the big centers anywhere in Canada or the United States.
Medscape: What are the elements of an ultrasound-first protocol for appendicitis?
Dr. Wilson: An ultrasound-first protocol would include doing ultrasound on all patients who are identified in the emergency department as selected to have diagnostic imaging confirmation of their disease. Who actually does the scan will vary, to some extent, from institution to institution. Wherever I’ve worked, I love for these patients to actually come to the regular department so that they’re not being examined in some little sequestered dark room without proper supervision. It’s good to have someone to ask questions of when problems arise or if things are difficult. Nonetheless, I’m very familiar with ultrasound techs working in those sequestered little rooms off of the emergency department, and a competent technologist can do it well there as well.
While there are variations to how specific institutions might set this up, I think that the emphasis has to be that the people who are holding the transducers by and large have to be experienced and competent at what they’re doing.
Medscape: One issue I’ve heard is that many radiologists don’t know how to read appendicitis ultrasounds. Is that an issue, and if so, how do you solve that problem?
Dr. Wilson: That’s a very difficult question. Ultrasound does not in all cases have as prestigious a role as some of the other modalities. But there is no question that if people don’t work in departments where ultrasound is championed and where there are expert, proficient people that do large volumes of ultrasound, you can end up with a situation where many general radiologists, for example, may not be as competent even as the technologist performing the scan.
I think that it takes a departmental decision that they’re going to do quality ultrasound before it will actually happen. Many departments do have that attitude and do very proficient work now. Certainly where I am today, and where I have been in my past, we do exceptional ultrasound with very good acceptance, and good results. Those things have to be addressed right across the board: in the residency training programs; in the sonographer training programs; and then, of course, in the practice patterns that are adopted by all of the radiology groups that are going to do this kind of imaging.
Medscape: Another problem is that many emergency departments don’t keep ultrasound techs after normal working hours, even if there is a radiologist who could read the ultrasound images. This is a cost issue. We’re dealing with an incredibly cost-conscience environment, and it’s getting more so all the time. Is there a solution to this problem?
Dr. Wilson: I agree in some respects, but during the past decade, at every meeting that I go to, I hear about more and more departments where there is a demand for them to to provide 24-hour radiology coverage, but that they also want to have sonographers in-house. I believe that as emergency departments look at the situation, and they assess the cost to them of keeping a patient overnight if they have possible appendicitis or deep vein thrombosis, they may find that it’s cheaper to pay an ultrasound tech to work than to maintain the care of those patients during the night. Although I’m aware of what you’re saying, I sense that there’s increased demand everywhere. I know many US centers where the radiologists are in longer, and they have it forced upon them that they have greater coverage for the ultrasound techs. This is something that must be addressed among the diagnostic imaging department, hospital management, and emergency department.
Medscape: If you were to implement an ultrasound-first plan for appendicitis on a broad scale, what would be its elements?
Dr. Wilson: When people have practiced ultrasound first, there have been 2 schemas. The first one is where the patient will have an ultrasound examination, and if the appendix is identified and it is abnormal, the patient obviously has appendicitis, and they should go to the operating room without having CT. And if the patient has ultrasound, and the appendix is identified and it is normal, then the patient should have a diagnosis of something else. Depending on the clinical evaluation, that patient would probably be sent home with a nonconfirmatory study for appendicitis. In that schema, if the patient has an appendix that is not visualized on ultrasound, they would have CT.
There are publications, perhaps 2 or 3, where this has been tried. You do ultrasound, and if you see the appendix — normal or abnormal — that’s fine. If you don’t see it, you do CT, because you don’t know whether it’s normal or abnormal. I have never, ever, ever liked that approach. I feel as though when I’m doing lots of scans, I have a sense that not only can I not see the patient’s normal appendix, but there’s nothing going on. The patient’s not in pain, they have no tenderness. I can see so beautifully with ultrasound that if there was anything else going on, I could see that. And so I feel that not seeing the appendix is a quite strong indication that there is probably nothing going on.
Another excellent approach to ultrasound first, which I support fully, is described by by Brooke Jeffrey, MD, a professor of radiology at Stanford University, that is pending publication in JUM (Journal of Ultrasound in Medicine). He looked at 400 patients with ultrasound first, and he could see the appendix in 140 patients. The remaining 260 all had a CT scan, and most of them turned out to be normal. The reason is what I’ve referred to: Among patients who walk in the door of the emergency department with lower right quadrant pain, about 20% of them will have appendicitis and 80% will probably have something else, or nothing. Once you have an ultrasound that shows nothing — it’s normal, but we can’t see the appendix — in that population, if you perform a CT scan, or follow them, whatever you do, the appendicitis rate drops to less than 5%. In other words, the patient will not be very likely to have appendicitis.
So what Brooke Jeffrey advocates is clinical observation for 12 hours, and only rescanning or doing CT on the patients for whom there is a clinical indication to do so, such as increasing pain or persistent pain without resolution. That’s what I personally advocate. So I think we should do ultrasound first, and for patients in whom we don’t see the appendix or we don’t resolve the problem — either providing an alternate diagnosis or showing appendicitis — then those patients should have brief clinical observation. That makes much more sense to me, because if you do CT on the rest of that population, almost all the CT scans will be normal. It’s much cheaper to keep patients in the emergency department for 12 hours than to do a CT scan on 60% of the patients, when most of them will be normal.
In summary, ultrasound is a safe and highly effective modality for the initial evaluation of patients with right lower quadrant pain who are suspected to have acute appendicitis. Ultrasound often provides an accurate diagnosis in patients with acute appendicitis and may exclude appendicitis in those with demonstration of a normal appendix, where an alternate diagnosis may be suggested. In negative scans, without demonstration of the appendix, brief conservative observation is effective in detecting those patients in whom further evaluation, including CT scan, may be appropriate. This is both clinically effective and cost-effective.
