This case was diagnosed in 10 minutes of patient evaluation according to the resident on our ultrasound elective who performed the scan and the team caring for him in the emergency department. The team knew the diagnosis and, therefore, knew what to order quickly. The patient came with his wife by private vehicle into the triage area of the waiting room where he complained of feeling very weak, more and more over the last 2 days, gradual onset, and said he couldn’t catch his breath with just a few steps. His appetite was poor and wasn’t eating or drinking much, denies chest pain/fever/vomiting/diarrhea or bloody/dark stools. He has a history of metastatic lung cancer (on chemo), diabetes (on insulin), hypertension (on beta blocker), CHF (on lasix), and DVT (on Coumadin) – yeah, I know, survival of the fittest! From what I heard, he did have a smile on his face, so at least he had that going for him, which is so amazing to me – if only we could all be like that!
His vitals: T 36.7 RR 18 HR 90 BP 88/60 O2 sat 93% RA; code status: Full. Exam: ill appearing, chapped lips, poor breath sounds bilaterally with rales at bases, 2/6 systolic murmur, abdomen was soft and mildly tender in the RUQ (which patient says is slightly more than usual) and had bilateral lower extremity pitting edema up to mid shin. No neuro deficits.
Initial management: Supplemental oxygen by NRB mask, 2 large bore IVs with 1 L of normal salines bolus already going in from the nurses orders, cardiac monitor showing normal sinus rhythm without ST elevation or depressions, stat EKG, istat glucose, troponin, Hct, and INR were all ordered. But, while waiting for those results, a RUSH exam was done to evaluate the PUMP, TANK, and PIPES to help find the etiology of his shock state.
What type of shock was he in? He has poor appetite and chapped lips, but rales and edema on exam – is he hypovolemic or hypervolemic? The HR is likely masked by his beta blocker. He is on immunosuppressive agents too so despite no fever he could still be septic. Could this be CHF exacerbation given his history? Or is this a hemodynamically unstable pulmonary embolus from his DVT, even though it was a more gradual onset of symptoms? We do know that just because a patient is on Coumadin it doesn’t mean they cannot get a PE. The below studies helped figure it all out:
The PUMP: the heart – an evaluation of RV and LV contractility, and assess for pericardial effusion
SX view:
PSL:
PSS:
So, there is definite severe hypokinesis, no pericardial effusion – so tamponade is ruled out! The PSL view is not suggestive of pleural effusion but is quite shallow and need increased depth. We have our first clue already!
The TANK: Chest to assess for B Lines and FAST scan for free fluid and “leakiness” of tank; IVC for volume assessment; pneumothorax evaluation for “compromise” of the tank
Chest: this was evident in 4 views total, bilaterally
This confirms pulmonary edema as we see more than two B lines in more than two areas, bilaterally, suggestive of fluid in the interstitium.
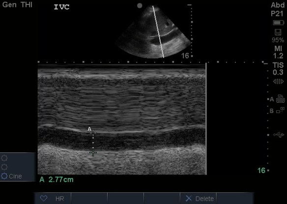
Using M Mode to measure the diameter of the IVC at the area of the hepatic vein inlet (approximately 2-3 cm from the right atria) and seeing that its over 2.5cm with no respiratory variation is like icing on the cake with what we know so far. They stopped the normal saline bolus, and considered pressor support with nitroglycerin/lasix bolus.
RUQ:
RUQ with Kidney in view:
LUQ:
SupraPubic:
FAST scan shows pleural effusions on both sides, more on the right, and no intraperitoneal free fluid. check.
Chest scan for pneumothorax: The left and right lung was normal with sliding on US at the 2nd intercostal space in the midclavicular line, but the right side looked like this at the 5th intercostal space
You can see that the lung is separated from the pleural line and sliding under an anechoic (black) area of fluid. This can be mistaken for a pneumothorax with the untrained eye, but since you all are so savvy, you know that black means fluid, always.
The PIPES: Evaluation of the Aorta for AAA and lower extremities for DVT. Since they knew he already had a DVT, they skipped that and did the Abdominal Aorta view:
The Aorta seems large to the viewer, but when noting the depth on the scan, despite it encompassing a large area of the screen, it’s actually less than 3 cm in diameter from subxiphoid to its bifurcation in transverse view. Normal. Check.
So, no RV dilation noted on the Echo; the PSS view did not have the “D” shaped appearance of the LV to suggest RV strain or a large saddle embolus causing hemodynamic instability – which is pretty much the only time when an Echo helps in evaluating for PE, as a hemodynamically stable PE will not be evident on the echo most of the time.
Diagnosis: CHF exacerbation – supplemental O2, high dose Nitro and lasix, and the RUSH exam helped – a lot. “Iatrogenic” intubation avoided, which is what I call it when we overload a patient with fluids needing respiratory support. ICU stay avoided as it was a pretty quick turn around. istat glucose 184, troponin slightly elevated, Hct 40 (normal), INR was 2.5 (at goal). Maybe that smile he had helped him too.
