This case is one of the most interesting cases I have heard about. A true testament to the concept that with bedside US, know what normal looks like well – because if you see something that doesn’t look normal, you may not know what it is sometimes, but it’s not normal and it’s time to explore further. One of our stellar EM residents, Dr. Natatcha Chough, went to the bedside of this patient who was brought by ambulance with appreciable diaphoresis. He was 57 yrs old, c/o gradual onset of chest pressure radiating to his back for 40 minutes (which had resolved after paramedics gave nitroglycerin), feeling light head, with associated shortness of breath, wheezing. He had a history of hypertension and aortic coarctation repaired as a child and at age 20, no history of asthma/COPD, and takes Metoprolol daily.
His vitals: T 36.3 RR 24 HR 83 BP 87/55 O2 sat 93% RA
His exam: In no distress, is diaphoretic, pale, alert and oriented x4, regular rate with equal pulses with no JVD or peripheral edema, wheezing bilaterally most on left side with decreased left breath sounds and no trachea deviation, neurologically intact without deficits.
He was placed on supplemental oxygen, 2 large bore IVs placed and IV fluid boluses started. An EKG showed normal sinus rhythm with 1 mm ST depression in V5, V6 without ST elevation. A RUSH exam (PUMP, TANK, PIPES) was initiated to evaluate for the etiology of shock.
The Pump was evaluated through a subxiphoid view only as the parasternal long/short views were unobtainable with poor image quality:
A possible small pericardial effusion was appreciated, without evidence of tamponade, with good contractility, without evidence of pump failure or severe CHF being the causes of shock.
The Tank was then evaluated through an EFAST and IVC (the chest was not explored for B lines)
RUQ:
LUQ:
So, there is a small pleural effusion seen on the left side without evidence of intraperitoneal fluid. The suprapubic view was also negative for fluid.
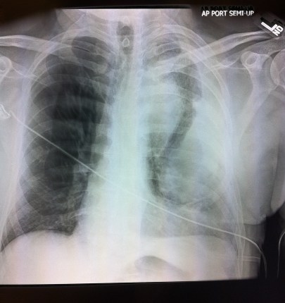
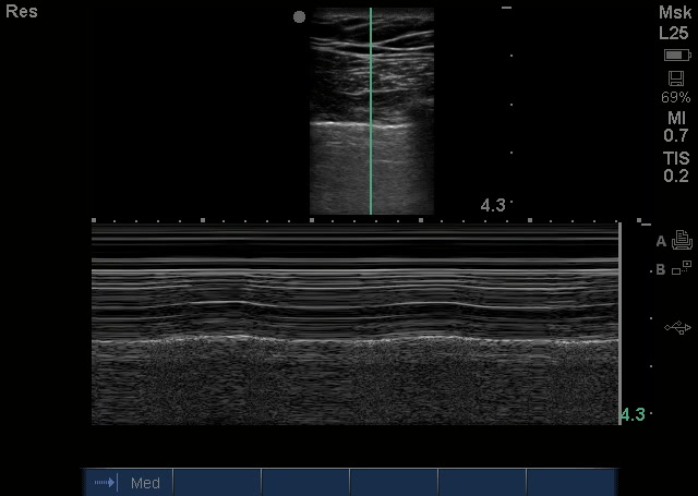
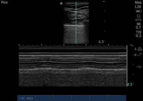
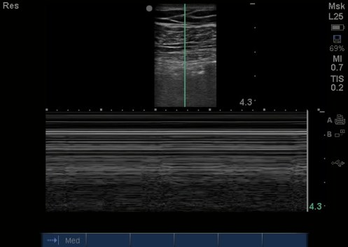
That left side had no lung sliding and a stratosphere sign on M Mode, that’s the first thing that Dr. Chough appreciated, but it was also unclear as to why it was so echogenic (gray) beneath the pleural line. He had no signs of tension pneumothorax on clinical exam, so instead of performing a needle thoracostomy and chest tube, she aborted the rest of the RUSH and ordered a stat Chest XR:

Given the above findings of a dilated aortic knob and correlating that to the small pericardial effusion, left sided pleural effusion, and clinical findings, she realized what she was seeing was a ruptured ascending thoracic aneurysm (with blood entering the pericardial space and the leaking blood collecting on the left side of his chest – as the aorta is situated on the left side and that’s where blood will go). His HR remained between 55-65 and his BP remained between 70s-100s with normal mentation. A stat CT angio of his chest was ordered and cardiothoracic surgery was called. As I dont usually provide CT images, this one was an interesting one and explained why Dr. Chough saw gray on the left anterior chest beneath the pleural line:
It was clotted blood adjacent to the 6×6 cm saccular thoracic aneurysm that started distal to his left subclavian artery. It was a good thing she didnt stick a needle in that, relied on her physical exam, and correlated her US findings to it. The radiologists states that this aortic rupture likely occurred a couple days earlier, with clot formation in the left chest and around the aortic knob but with continued leaking of blood. It’s amazing this guy is still alive! The surgeons debated on whether to take the patient to the cath lab versus the OR due to his prior surgery and possible scarring, and finally took him to the OR where he ad endovascular aortic repair and is doing well today.


Pingback: The LITFL Review 069