Teresa Wu, Associate Residency Director, and Director of Ultrasound and Simulation Programs and Fellowships, for the Maricopa Emergency Medicine Program (otherwise known as “T Wu” – as shouting that loud over and over again gets even the innocent bystanders at the bar chiming in )- has joined her colleague, Brady Pregerson (who manages a free on-line EM Ultrasound Image Library and is the editor of the Emergency Medicine Pocketbook series) once again for a fantastic case highlighted in the recent issue of EP Monthly. Its about a 28 year old female walking in to the waiting room and telling the nurse she has abdominal pain, with the nurse stating “RLQ pain” on her chief complaint. As sarcastic as T Wu can be, she states “Knowing that clothes generally stay on in the triage area, and the belly button usually remains unseen, the first thing you do after you close the curtain and introduce yourself is to have the patient pull up her blouse and point to where she feels the pain. You are not surprised to find that she is actually pointing to her right upper quadrant.” This case starts off by not only highlighting the appropriate physical exam techniques for abdominal pain, but also gives an appreciation to performing your own history and physical exam despite the triage complaint. As the case ensues, an exploration of the pain with bedside ultrasound is done…
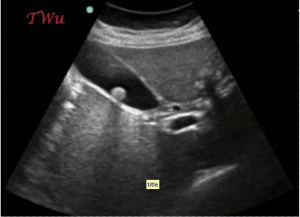
The right upper quadrant view above shows a gallstone – but is that what is causing her pain? As we become more and more savvy with bedside ultrasound, we will start sounding like our radiologist friends, and Ill leave you with exactly that: “Correlate clinically.” Read the story, as it will highlight not only bedside US utilization, but education pearls on cholelithiasis and right upper quadrant bedside ultrasound pitfalls.
