One day, years ago, I went to my ophthalmologist who looked in my eye through their ‘whatchamacallit’-scope and then sat back in his chair and asked me (with a straight face): “Are you having any diarrhea?” Of course, this immediately confused me as I wondered whether my years of medical training lacked the concept that my eye could assess diarrhea. I answered with a chuckling, “no” and he concluded with, “ok, then Im sure it’s fine.” I decided to just forget that odd encounter until I started to perform ocular ultrasounds several years ago, excited about how I now dont have to rely on my horrible fundoscopic technique as it gives tons of information not only about the eye, but also the brain!
The most recent EM News article discussed a “breaking news alert” – which excites everyone in wanting to know what it is – but it’s actually about how ocular ultrasound (measuring the optic nerve sheath diameter) can screen for increased intracranial pressure – a concept that has been well studied in the last couple years. Papilledema!!!! The exciting part about it, is that it’s making the press now! Of course, as I continued to read through it, I noticed several of my friends were involved: Dr. Kristi Koenig (director of the Center for Disaster Medical Services and a guru in EMS and pre-hospital / MCI triage protocols) and Dr. Chris Fox (a new Assistant Dean, a bedside US guru, and king of medical student US education) – both at UC Irvine, my old stomping grounds. The article excellently discusses how a simple bedside ocular ultrasound can help screen/triage/manage patients in a busy ED and, especially, in resource limited areas.
Increased intracranial pressure can occur by the following: cerebral edema (also with high altitude), significant cerebral hemorrhage/mass, hydrocephalus, pseudotumor cerebri – to name a few
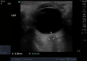
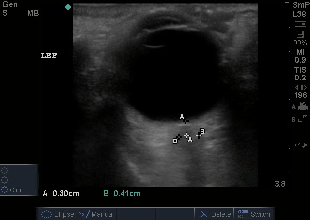
By using the linear high frequency probe with the indicator toward the patient’s right then head, you fan through the eye after placing a tegaderm (to prevent gel discomfort but not necessary) over the closed eye followed by tons of gel. Here is what you will see if normal:
You can see the anterior chamber, ciliary muscle, lens and posterior chamber. The dark hypoechoic linear structure coming off from the back of the orbit is the optic nerve. When it is at its widest on your screen, you measure the diameter 0.3cm from the posterior eye. In adults, any measurement over 0.5cm is considered abnormal and suggestive of increased intracranial pressure. Make sure to the other eye as well and correlate it with your H&P.
Per Dr. Chris Fox – “Emergency physicians are incentivized to do as many CTs as possible, it’s faster and enables them to see more patients per hour. They spend less time at the bedside and make more money. In addition, the CT allows us to share responsibility with another physician, and patients think they are getting the best care.” That, however, ignores the risk of increased radiation” Dr. Fox said – … he likes to go to the bedside with the ultrasound and spend more time with the patient. “I stand there and talk to the patient. It does slow me down, but it also enables me to image lightly and not involve radiation. Many times, I can get the answer to a whole host of pathologies,” – per EMNews Aug 2012

