The great thing about bedside ultrasound is that you can get a really REALLY good idea of what is going on with a patient within 5-10 minutes of their arrival, particularly patients who can’t tell you whats going on (whether it’s because they are lethargic and tachypneic – like this case – or altered, unconscious, or speak another language) , but, because you are a great doc, you do know by just walking through the doorway and looking at the patient that he is S.I.C.K. This case discusses exactly that and highlights the RUSH protocol, (see my prior post on the evidence based approach to the RUSH) ,but also how interpreting those applications when correlating to your exam and clinical history is key and adds greatly to your evaluation of the patient.
60 yr old guy (with an amazingly nice wife and family) with a history of cutaneous T-cell lymphoma (chemo/radiation 3 months earlier), Sezary syndrome (with chemo) and Sjogren’s syndrome walks in (yes, thats right, walks in…) to the emergency department waiting room, leaning on his wife after just getting off a plane from Seattle (about a 3 hour flight) after a 1 week cruise. He can’t talk – he’s lethargic, breathing fast, eyes closed and using any energy left in him to walk into the ED. His wife describes how they were on the cruise and was gradually feeling more fatigued about 5 days prior to his ED visit. He was sleeping about 15-20 hours in the last few days, not eating or drinking much, and since yesterday was less responsive and breathing fast. How he got on that plane is beyond me. She stated he still wanted to be full code, despite his doctors recommendation for palliative care/DNR/DNI as he wasn’t yet ready…. He could nod/shake his head yes/no to questions but took a while to respond – tough to really know if he was altered or just extreme lethargy – but what was discerned from him: he did not have chest pain, no cough, no abdominal pain, and was just feeling really bad. He would open his eyes when asked, but wouldn’t do much else. Appeared pale, cachectic with poor breath sounds on left and diminished at bases bilaterally, tachycardic without murmur, slight abdominal distension with mild diffuse tenderness, no peripheral edema, no focal neurologic deficits (however limited the exam was due to his state) and multiple painful cutaneous lesions over his body from his lymphoma. He had a PICC line in place on his left arm without evidence of surrounding cutaneous infection.
Initial Vitals: T 37.6 HR 130s RR 26 BP 90/70 O2 sat 80% room air
After a 100% non-rebreather (which raised his O2 sat to 100%), additional IV access, 1 liter normal saline bolus, cardiac monitor showing sinus tachycardia, and iSTAT labs ordered – the thoughts that ran through the providers minds were: sepsis from lung/urine/GI/line? severe dehydration with hypovolemic shock? pericardial effusion/tamponade? perforated viscus? pulmonary embolism? acute MI with CHF? Aortic dissection or rupture? The following ultrasound studies were done by Dr. Alice Chao for a RUSH exam that gave answers to many of those questions through an evaluation of the pump, tank and pipes:
The Pump: a subxiphoid view:
So, we see that there is no pericardial effusion/tamponade or severe RV dilation and strain to suggest pulmonary embolism, and good contractility to rule out significant MI, but there is free intraperitoneal fluid surrounding the liver – could this be due to his cancer, trauma, a ruptured aorta, or third spacing?
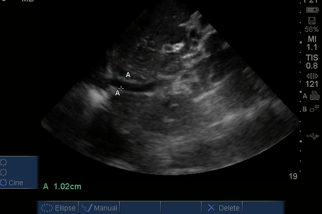
RUQ and LUQ views (not IVC view despite text on screen):
Definitely see the free fluid in the intraperitoneal space again, but also see significant pleural effusion above the diaphragm as a black (anechoic) region – with the help of the spine shadow traversing beyond the diaphragm.
Suprapubic:
Lots of free fluid here!
Anterior chest wall bilaterally:
Ok, so no pneumothorax as we see normal lung sliding with comet tail artifacts on each side of the chest at the 2nd intercostal space midclavicular line….
Lower Right chest:
B lines are there (bright rays coming from pleural line to end of screen), but it’s not coming down from all areas of the pleural line – there is a spared area and some hyperechoic (bright) regions to suggest an infiltrative process.
Lower left chest:
B lines are present here as well, and again not throughout the pleural line, but only one section of it. The other quadrants of each side of the chest did not have B Lines – so not a CHF/pulmonary edema picture as that would show continuous B lines without spared areas in more than 2 areas on each side…but this is more of an interstitial infiltrative picture… and pneumonia by US? It’s looking like it….
He needs fluid – his volume is down – complete collapse with normal respiration and an IVC of <1.5 cm – keep the fluid coming – he has a great pump, it’s hyperdynamic, and those pleural effusions and intraperitoneal fluid may be a consequence of his cancer, but it seems that he can take more fluids.
Aorta:
Seeing a whole bunch more of abdominal free fluid, we can see the aorta beautifully – fluid being the lover of ultrasound, it allows you to see structures beyond it so much better! – normal aorta. check. …and honestly not high on the differential anyway.
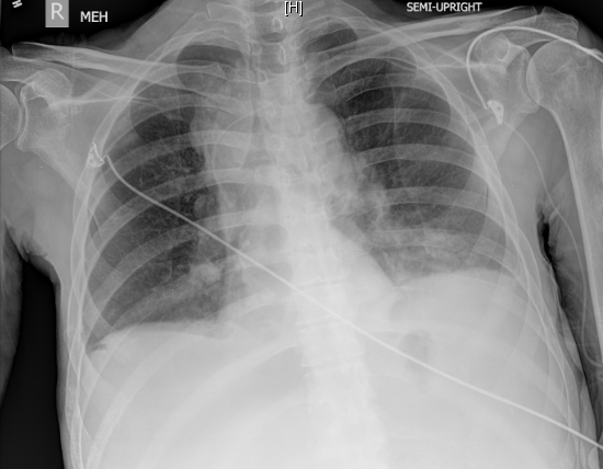
So, he didn’t have a fever in the ED, but was hypoxic and tachypneic, gradual onset of fatigue and now lethargic, volume down with an infiltrative process in his lungs. Sepsis was now the working diagnosis. Triple antibiotics coverage was ordered along with the other “usual” labs for sick patients and a prior imaging study showed that he did have mild ascites and pleural effusions from his cancer but no lung nodules/masses – putting it all together -> sepsis from pneumonia – diagnosed in 15 minutes. The chest Xray that was ordered was done about 10 minutes after…

… you see blunting of the costophrenic angles and old right rib fractures, but no true focal infiltrates – interpreted by radiology as unchanged from his prior CXR except for the rib fractures (which is interesting as it suggests a trauma occurred between the prior CXR and this one). Didn’t change the thought of the providers though, they know what they saw and knew that ultrasound is better than chest radiograph for pneumonia. He responded to fluids very well and felt markedly better within a few hours, transferred to a nasal cannula, and became more responsive with stabilization of his vitals. As an inpatient, his pneumonia on his chest XRay became more apparent the next day, he continued to improve and do well, but with a CT showing extension of his cancer.
