This case is one of those cases that make me so proud of the residents I work with…. Drs. Brianne Steele and Cesar Avila identified the need for a RUSH exam, but didn’t stop there – they noticed something during their RUSH and proceeded with another evaluation – obtaining the surprising diagnosis below, saving him time in the emergency department and canceling his CT scan that didn’t need to be done, which I then conclude controls his healthcare charge. period.
70 year old male with a history of (ready for it…) coronary artery disease, CHF, cardiomyopathy, hypertension, high cholesterol, diabetes mellitus, gastroesophageal reflux, bilateral knee replacement, lumbar stenosis and laminectomy (…phew) who presented to the emergency department (ED) after being sent from urgent care after appreciating an oral temperature of 39.1 and systolic blood pressure of 80 that responded to a normal saline bolus of 500cc. He had a 10 day course of amoxicillin for prophylaxis of a root canal done 2 weeks prior to his ED visit. A few days after, he started to have watery diarrhea and crampy intermittent abdominal pain, took Immodium and has not had a bowel movement for 3 days, with now a productive cough of green sputum, feeling weak, and persistent general diffuse abdominal pain. Episodes of nausea without vomiting. No chest pain but mild shortness of breath described as having to breathe faster.
Vitals in ED: T 37.1 HR 71 RR 20 BP 115/52 O2 sat 97% room air. On exam he was noted to be obese, in no distress and not diaphoretic, had dry mucous membranes, lungs were clear bilaterally, heart regular without murmur, and his abdomen was diffusely TTP without rebound or guarding, and strong and equal distal pulses.
The providers knowing that a prior known hypotensive event is a good predictor to badness, were concerned and asked our ultrasound elective residents to perform a RUSH exam after they ordered supplemental oxygen, 2 large bore IVs and another 500cc normal saline bolus, placed the patient on the monitor showing normal sinus rhythm, and ordered istat lactate and the usual blood tests for concerning patients. Was this c. diff colitis and subsequent dehydration or sepsis? Was this pneumonia with early sepsis? Was this a viral syndrome and early sepsis? He has no clinical signs of CHF exacerbation but he is breathing faster which can be one of the first signs of sepsis due to acidemia. The below images and clips helped manage and diagnose the patient’s problem.
The Pump: subxiphoid view
The pump is not as bad as they thought it would be given the past medical history, and they had a difficult time to visualize the subxiphoid, but they used the SonoTip of getting the liver in your view to help you see the heart better. No pericardial effusion, no right ventricular strain.
The Tank: FAST scan was done without evaluation of the lungs – why? you will soon find out…
LUQ view:
They cannot see above the diaphragm in this view, but they did in another not posted, all is good, no pleural effusion, no free intraperitoneal fluid. A good view of the kidney showing no hydronephrosis.
Suprapubic view:
The patient has a moderately full bladder, no free fluid surrounding it.
RUQ view:
There was no free fluid seen and no hydronephrosis on the right (another image not posted had no evidence of pleural effusion). But….instead of going to the thoracic views, another RUQ view was obtained for better visualization, but something else appears in the image, noticed by the residents that has them want to explore more….
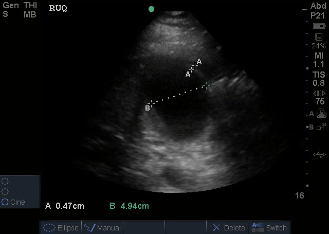
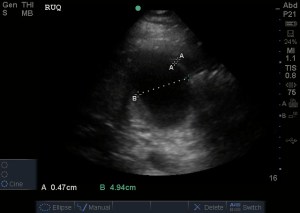
They noticed the gallbladder and how abnormal it appeared, with possible pericholecystic fluid in the above clip, so they went on to evaluate it:
Gallbladder: transverse:
Gallbladder: Long:
Gallbladder measurements:


The normal gallbladder measurements are an anterior gallbladder wall of 3mm, a width of 4cm and a length of no more than 9-10cm. The common bole duct (not measured) should be 6mm at the age of 60yrs (adding a mm for every decade above 60). The above image also shows a small amount of sludge but no obvious gallstone (it may have went into the bile duct and obstructed there). So, putting it together – this is obviously abnormal and evidence of acute cholecystitis.
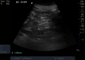
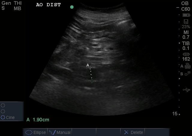
The Tank: IVC for volume status

IVC is slightly on the low/normal – (normal measurement being 1.5-2.5 cm with no more than 50% respiratory variation). Not seen is the complete collapse that occurred with sniff.
The Pipes: Aorta for good measure and practice, not that it was needed, really.

As you can see, they found out that the patient had a better pump, although mildly hypokinetic, than previously assumed, had lower-ish volume and could tolerate and needed fluids, and appreciated acute cholecystitis in this patient whose differential diagnosis did not even include that in the beginning. CT scan was cancelled. The labs returned soon after with a normal WBC count but neutrophilia (elevated to 15 that night) and elevate Cr of 1.5 mg/dL and elevate total bilirubin, with significant elevation of alk phos, AST, ALT (I know, not that big of a surprise knowing what we already did). General surgery was called and admitted the patient for cholecystectomy. The patient did well and was discharged without complication.