No, this isnt a talk about partisan politics (thankfully!), but something that is even more important that you should know and learn well, that could not only change everyone’s life [like politics thinks it does] (by way of how they manage their patients) but also saves a life (by how quickly you help your diagnoses be made). That’s right fellow blogosphere friends. Listen up!
Our SonoTutorial on The FAST: Right Upper Quadrant (RUQ) week was just the beginning of this review on the FAST scan- the most common application done at the bedside at many institutions, and for good reason. It’s used (as a screening study for intraperitoneal free fluid) for any blunt or penetrating chest/abdomen/back trauma as well as the unexplained hypotensive patient (the RUSH exam). The RUQ is the best area to evaluate for free intraperitoneal fluid of all the FAST views, but don’t think you can just do that view and stop there! It is not 100%, and there are enough times for me to see free fluid in the left upper quadrant (LUQ) that was difficult to see in the RUQ that makes it evident that completing the FAST scan is key! The LUQ is, essentially, the not-so-ugly sister to the RUQ.
The same concepts I discussed for the RUQ exist for the LUQ (adjust depth, slow and complete fanning, and needing multiple rib spaces while being one with rib shadowing and perinephric fat)….with a few very important yet ever so subtle, minor yet major, slight yet obvious differences:
1. Start high and travel down rib spaces: start by placing your probe at the HS line of the left (you may need to travel up a rib space to get around the diaphragm). The only difference between the RUQ and LUQ here is that you should place your probe at the posterior axillary line on the left, instead of midaxillary ilne of the right. This is sometimes described as having your “knuckles on the gurney”. Do you always need to to do this? No, sometimes your midaxillary line works just fine. Why do you? I’ll use the words from my colleague, Dr. Zoe Howard : Stomach Sabotage!
2. Be complete: evaluate above the diaphragm, below the diaphragm, around the superior pole of the kidney and inferior pole of the kidney, and the left paracolic gutter. No difference here, but getting these views may be more difficult in the LUQ. Why? You as the operator are in a weird position, having to lean over the (at times) protuberant belly of the patient (not seeing the ECG sticker that’s in the exact area you are trying to evaluate), the spleen is smaller than the liver (so less of an acoustic window), and… Stomach Sabotage!
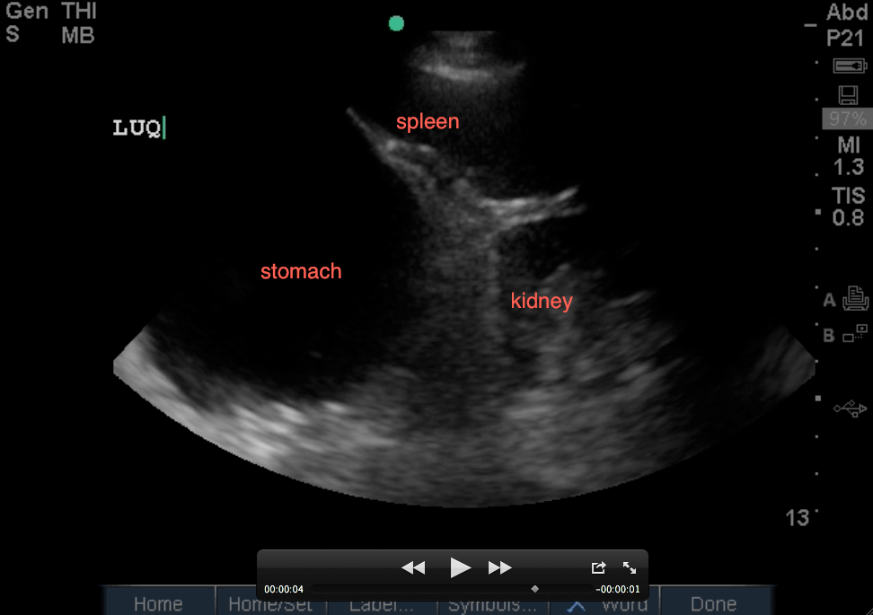
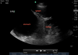
Let’s get into the LUQ view: First, assess that your probe is in the correct location by seeing (from top of screen to bottom): the spleen on your screen and slowly angling it posteriorly to get the kidney also on your screen which is right above the psoas and then spine (with it’s shadow). If you do not see the spleen, you may be too high or too low – slide down or up a rib space to get yourself oriented to the correct region with the depth usually being at 13-16cm using your phased-array low frequency probe.
1. Evaluate above the diaphragm…. to evaluate for intrathoracic free fluid. This may involve having to increase your depth while you slowly fan your probe anterior to posterior (from 13cm to 16cm – you dont usually need to go 19cm unless it’s a huge spleen). The patient’s breathing will also help you as you will notice the bright white (echogenic) linear diaphragm which hugs the spleen will move (right and left) on your screen with every breath. Having the patient take a deep breath and holding it, will allow you better visualization if a rib shadow is in your way. A mirror image of the spleen may be seen above the diaphragm (a normal artifact that occurs when ultrasound passes through structures of varying densities and then through air (lung). However, in the LUQ, If no mirror image, it may not mean free fluid, especially if the stomach is in your view. If the area above the diaphragm is truly anechoic (black) without Stomach Sabotage – that’s fluid in the thoracic cavity! The spine sign will also help you evaluate for free intra-thoracic fluid, as the spine and it’s shadowing normally stops once it hits the diaphragm when visualizing on the screen from right to left (air is the enemy of ultrasound!). But if there is fluid in the thoracic cavity, you will see the spine continue to traverse past the diaphragm up into the thoracic area (fluid is the lover of ultrasound!).
Sometimes the stomach is so large that it can monopolize the entire screen (even be mistaken for intrathoracic free fluid). This is particularly true if your probe is at the anterior axillary line, the patient is being bagged before coming to the ED room, or after the patient had a very large and likely yummy meal:
2. Evaluate below the diaphragm… to evaluate for intraperitoneal fluid. This is where free intraperitoneal fluid will usually develop first in the left upper quadrant (LUQ) (different from the RUQ where the first area of free fluid is usually around the inferior pole of the kidney and right paracolic gutter). If you increased your depth for #1 above, you will need to adjust it back. You will be sabotaged by stomach when getting this view, so you may want to oblique your probe (indicator toward gurney as explained by Dr. Mike Stone) in plane with the ribs and angle your probe posteriorly (and thus away from the anterior stomach). Black fluid below the diaphragm between it and the spleen is abnormal as seen below:
In the below video, you can see that by slowly fanning from anterior to posterior, getting the stomach out of your way, free fluid above and below the diaphragm becomes evident:
3. Evaluate between the spleen and the entire superior pole of the kidney. Slowly fan anterior to posterior to visualize the entire superior pole of kidney – you should fan to the extent that the kidney goes completely out of view, comes back into view, then goes back out of view. This area will have free fluid in addition to the other regions of the LUQ. It’s the last area for free fluid to collect.
4. Evaluate between the left edge of the spleen and the entire inferior pole of the kidney. This will also evaluate the left paracolic gutter. You will need to travel down one rib space in order to evaluate this region. The below video shows trace free fluid at the very left paracolic gutter with complete fanning (it also shows hydronephrosis)
A great video with my good friend, Dr. Diku Mandavia, who describes the LUQ FAST scan technique perfectly.
Another great video by Dr. Phil Perera (known for authoring the RUSH protocol) on his Soundbytes courses discussing the LUQ view of the FAST in even more detail. Im happy to add that he will be joining our family at Stanford next month!
And yet another video by Dr. Mike Stone’s crew at Harvard (Dr Heidi Kimberly) that shows great examples of LUQ imagery with pitfalls and pearls!
To see some clips of LUQ images that could fool you, read the next post.







Is the liver or a portion of it ever visible in the LUQ….say if you start to high?
Pingback: Interesting Case #1 | EMUGS – Emergency Medicine Ultrasound Group Sydney
Pingback: Siêu âm Choáng Chấn thương mở rộng : eFAST !!! | Cấp Cứu Amateur