In the most recent installment of the Sound Judgement Series by AIUM, Drs. Rochelle F. Andreotti and Sara M. Harvey from the Department of Radiology at Vanderbilt discuss the use, accuracy and effectiveness of ultrasound for acute pelvic pain. It seems that pelvic pain has, again, become an important issue as there are quite a few articles that have come out about it recently, likely because there are so many visits to clinics and emergency departments with this exact chief complaint. As the authors state “The diagnosis can be challenging because many symptoms and signs lack sensitivity and specificity. Urgent life-threatening conditions requiring surgical intervention (eg, ectopic pregnancy, appendicitis, a ruptured ovarian cyst, and ovarian torsion) and fertility-threatening conditions (eg, pelvic inflammatory disease [PID] and ovarian torsion) should take precedence over other disorders.” – Guess which imaging modality can evaluate all of them? Ok, trick question, I know – – but let’s talk about it… First off -“Since sonography is noninvasive, radiation free, and cost-effective, demonstrating high sensitivities across the most critical etiologies that, with the exception of appendicitis, are gynecologic problems, it should be the initial imaging modality in the evaluation of acute pelvic pain.” CT is great for GI and GU stuff – but even then, quite a few pathologies can be evaluated with ultrasound. Ultrasound can narrow the differential, particularly if gynecologic diagnoses are being considered. Right after your physical exam, bring over the ultrasound machine, perform a transabdominal ultrasound. If the bladder is empty, then your evaluation of the pelvic organs and pelvic region will be limited, so go further to a transvaginal study. The article goes on the discuss each of the pathologies above with great images of what to look out for.
Medscape also recently had a review of 1st trimester pregnancy evaluation by ultrasound and the beta HCG – “Traditional thinking regarding ultrasound was that patients with a beta human chorionic gonadotropin (β-hCG) level less than 1,000 mIU/ml did not need an ultrasound because neither an intrauterine pregnancy (IUP) nor an ectopic would be seen. This practice has been largely abandoned based on evidence that ectopic pregnancies can be visualized with ultrasound at very low β-hCG levels. However, the upper end of the “discriminatory zone” has continued to be used as a guideline for determining when a normal gestational sac should be visible by ultrasound. It has been generally accepted that a serum β-hCG greater than 1,500 – 2,000 without evidence of a gestational sac by transvaginal ultrasound represents an ectopic pregnancy, and patients have been presumptively treated based on these findings.” and “Bottom lines: (1) Serum β-hCG level is not helpful in differentiating IUP from ectopic with EP performed bedside ultrasound, and (2) Presumptive diagnosis of ectopic pregnancy cannot be made on the basis of initial β-hCG level if transvaginal ultrasound demonstrates no evidence of either an IUP or an ectopic pregnancy.”
In evaluating the first trimester, I always go through this “basic” algorithm:
Gestational sac only? If so, cannot rule out ectopic (could be pseudosac)
Gestational sac and yolk sac/fetal pole? If so, early intrauterine pregnancy (IUP), but cannot state whether it’s a “live” pregnancy
Gestational sac and fetal pole with fetal cardiac activity? If so, it’s a Live IUP
Gestational sac, fetal pole, cardiac activity and normal fetal heart rate? If so, Live IUP with normal pregnancy state (at this time) – and if that’s the case, then you havent found the cause for acute pelvic pain – keep looking – ovaries? mass? heterotopic? PID/TOA? Multiple gestation?
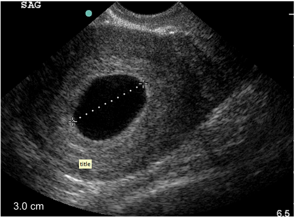
A recent issue of EP monthly also had a case by a great friend, Dr. Teresa Wu and her colleague, Dr Brady Pregerson, called Coming on Empty. They discuss a 29year old female who is pregnant and c/o cramping and vaginal spotting with the below ultrasound image. What do you do and what does it mean? What are the tips and tricks when you see the below image? They discuss it all.
A radiologist from Harvard Medical School also discusses the concept of Ultrasound First for Pelvic pain in a short video clip giving an example of a young girl with intermittent pelvic pain after having an MRI.
