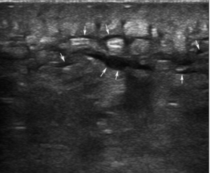
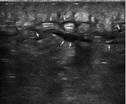
In a prior post we discussed the concept of what is now one of the post popular phrases that have come to be used as a Sono-term: ‘pus-stalsis’. Yup, that’s right – the movement of pus seen with compression over the area of hypoechogenicity when using the linear probe to evaluate for fluid filled pocket that’s concerning for abscess. It can fool you! Instead of doing a needle aspiration – take a look! push down on it and see if there is pus-stalsis! It’s easy.
In the most recent submission to the ULTRASOUND FIRST push by AIUM, Dr. Michael Blaivas (a God to bedside ultrasound – yes, we have a few, and he is top tier!) and Dr. Srikar Adhikari (another well-published ultrasound guru who takes it to another level!) wrote about the concept of Ultrasound First for cellulitis and abscess evaluation and clinical scenarios that would make even the best doctor for physical exams take a step back. And why not? “Sonography has been found to be more accurate than computed tomography in detecting cutaneous abscesses. In addition, it also provided more details of the abscess cavities compared to computed tomography, potentially obviating the need for ionizing radiation” – oh yeah!
So, when you look with ultrasound, it may be tricky. Take a look at their images below: which one is cellulitis and which is an abscess? It can be tough…. they again describe the technique of compression to help you…
In that article, they state: “…studies have confirmed anecdotal clinical evidence that the physical examination is often incorrect. In fact, not only was incision and drainage being performed unnecessarily, in some cases, needed procedures were missed after failure to recognize the presence of an abscess. With the recent spread of sonography into clinical practice, multiple descriptions of point-of-care sonography use in suspected soft tissue infections have been published. Some have even noted that blind incision and drainage, once thought to be harmless, could lead to serious potential complications because not all red swollen structures should be cut with a scalpel.”

