An article that just recently came to my attention made me start to think a little bit about how we teach how to do the FAST scan. In a prior post, I discuss the RUQ and LUQ details – to ensure to not miss any amount of free fluid that should be seen on the FAST scan, keeping in mind it’s limitations. Then, I read this article in the EMJ online First from April 2012 that discusses a case of an ‘unusually’ positive FAST scan, but when reading about the injury and the location, I am not surprised about the location of free fluid development. Hind-sight is 20/20, but it highlights a few key concepts that should always be addressed: look for free fluid in the REGION on the RUQ and LUQ, not only between the liver/spleen and kidneys AND serial FAST scans for any patient where the mechanism suggests a risk for intra-abdominal injury (particularly if you are not going to CT the patient) – I do this frequently in the patients who come in drunk as all get-out where I cannot rely on my physical exam or the pediatric population where radiation would be best avoided if possible.
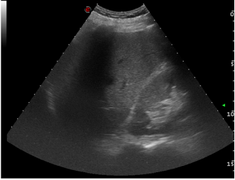
The case from the article: “A man presented to the emergency department with a stab wound to his right upper quadrant. His vital signs were in the normal range. Examination revealed a 1.5 cm wound at the junction of the subcostal margin and the linea semilunaris. There was localised peritonitic tenderness. Lactate was elevated at 4.3 mmol/l. FAST ultrasound (focused assessment with sonography for trauma) was performed. Initial perihepatic imaging did not reveal fluid in Morison’s pouch.
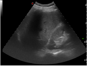
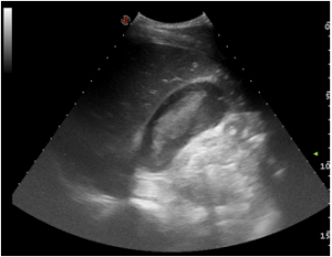
In the course of this imaging, a thin anechoic strip was noticed around the gallbladder
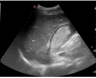
This pericholecystic fluid collection rapidly increased in size on serial FAST examination after 5 min.
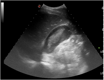
He went on to have emergency CT (figure 4) prior to surgery. The patient underwent midline laparotomy with repair of liver laceration and gallbladder. Leakage of bile and blood around the gallbladder was found during surgery. He had an uneventful post-operative course and was discharged on the seventh postoperative day.”
The authors go on to further describe the pericholecystic fluid evaluation in abdominal trauma and that the gallbladder can get injured.
Interesting case, and lets me know that any free fluid anywhere in the region should be suspect. But, the area of the gallbladder is not commonly seen upon RUQ evaluation, and I do not necessary think it should be added to the FAST scan.


